Najskoršie ultrazvukové zobrazenie počínajúceho vnútrotelového tehotenstva sa obvykle deje medzi 12. a 17. dňom po oplodnení. To zodpovedá približne 26. až 31. dňu od poslednej menštruácie, čo je 5. gestačný týždeň. Vtedy sa v dutine maternice s vysokou sliznicou zobrazuje plodové vajíčko (gestačný vak), ktoré je obklopené hyperechogénnym (svetlejším) lemom.

Tento sonografický nález je veľmi typický a zvyčajne sa nedá zameniť s obrazom mimomaternicového tehotenstva. Pri mimomaternicovom tehotenstve sa v maternici môže objaviť podobný útvar (pseudogestačný vak), ale ten nemá lem a je umiestnený v strede dutiny maternice.
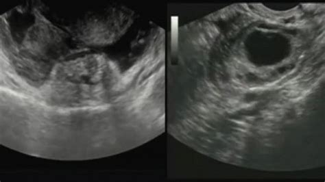
V tomto období sa ako prvá embryonálna štruktúra vnútri gestačného vaku zobrazuje druhotný žĺtkový vak (ZV). Najskôr je možné ZV zobraziť od 5 týždňov a 3 dní tehotenstva, pričom jeho priemer je vtedy 2-3 mm.

Medzi 6. a 8. gestačným týždňom žĺtkový vak rastie rovnomerne. Ku koncu prvého trimestra sa jeho rast spomaľuje a dosahuje rozmery 4,8-6,9 mm. Ku koncu prvého trimestra štruktúra žĺtkového vaku zaniká, takže už nemusí byť viditeľná.
Abnormálne nálezy, ako napríklad zväčšený priemer žĺtkového vaku v pomere k dĺžke tehotenstva, môžu byť v prvom trimestri predmetom lekárskeho záujmu.
Od polovice šiesteho gestačného týždňa (5 týždňov a 3 dni, teda 38 dní od poslednej menštruácie) sa pri žĺtkovom vaku začína zobrazovať embryonálny pól. Koncom šiesteho týždňa, pri dĺžke embryonálneho pólu 3 mm, je možné pozorovať prvé známky života - akciu primitívneho srdca. V tomto momente začína fetálne obdobie a o zárodku hovoríme už ako o plode.
Hodnota CRL (dĺžka embrya od temena po kostrč) sa v tomto období pohybuje medzi 31-40 mm. Choriová dutina môže mať v reze nepravidelný vajcovitý tvar a dosahuje priemer 43,6-49,6 mm. Amniálna dutina má priemer 34-41,4 mm.
V tomto období je možné získať profil tváre, na ktorom možno rozlíšiť nos, hornú aj dolnú čeľusť. Súčasne je možné posúdiť vývoj horných aj dolných končatín. S postupným kostnatením stredných úsekov dlhých kostí je možné merať dĺžku stehennej kosti. Koncom prvého trimestra sú dĺžky stehennej a pažnej kosti a predlaktia a lýtka už merateľné.
Tvoření dítěte: První dva týdny
Pri ultrazvukovom vyšetrení v 6. týždni tehotenstva (podľa CRL 8 mm, teda 6+4) bola viditeľná akcia srdiečka. Avšak poznámka "žĺtkový vak nevizualizovaný" môže byť znepokojujúca, najmä v prípade predchádzajúceho spontánneho potratu. V takýchto prípadoch je dôležité konzultovať nález s lekárom, ktorý posúdi všetky súvislosti.
Je dôležité si uvedomiť, že ultrazvukové vyšetrenie tehotenstva je najefektívnejšie po vynechaní menštruácie, ideálne dva týždne po očakávanej menštruácii. Klasické tehotenské testy bývajú pozitívne približne 12-14 dní od oplodnenia, čo zodpovedá času, kedy sa očakáva menštruácia (cca 2. týždeň tehotenstva). Ultrazvukovo je však tehotenstvo viditeľné najskôr v 4. týždni tehotenstva. Ak pacientka príde na vyšetrenie príliš skoro, ultrazvuk ukáže len vysokú sliznicu endometria.
Hladina hCG (humánneho choriogonadotropného hormónu), ktorý je kľúčový pre udržanie tehotenstva, by mala pri perspektívnom tehotenstve v krvi stúpať. V 5. týždni gravidity môže byť viditeľný gestačný vak (GS), v 6. týždni gravidity sa vizualizuje žĺtkový vak (YS) a embryonálny pól (embryo, fetálny pól), pričom koncom 6. týždňa je už možná aj akcia srdca. Ak sú viditeľné všetky tieto štruktúry (GS, YS, embryo), ďalším krokom je často pozvanie pacientky na I. trimestrálny skríning v 11/0 - 13/6 týždni tehotenstva.
Pri fyziologickej jednoplodovej gravidite, keď vidíme gestačný vak, žĺtkový vak a embryonálny pól s akciou srdca, môžeme sa vyjadriť, že sa jedná o normálne tehotenstvo. V prípade nekompletného tehotenstva, alebo ak v 8. týždni tehotenstva (podľa poslednej menštruácie) ultrazvuk neukáže žiadne známky vnútrotelového tehotenstva, je nutné myslieť na možnosť mimomaternicového tehotenstva. Vtedy sa okamžite odberá tehotenský hormón (hCG) a pacientka je pozvaná na kontrolu ešte v ten istý deň alebo nasledujúci. Ak hodnota hCG presahuje 1500-2000 mIU/ml, tehotenstvo musí byť viditeľné ultrazvukovo vnútri maternice.
V prvom trimestri je tiež dôležité určiť početnosť tehotenstva, chorionicitu (počet placenty) a amnionicitu (počet plodových obalov), najneskôr do 16. týždňa. Správne určenie týchto parametrov je nevyhnutné pre posúdenie rizika možných komplikácií a plánovanie pôrodu.
Po dlhom putovaní oplodneného vajíčka vajcovodom, blastocysta dorazí k maternici a nasleduje implantácia. V 4. týždni tehotenstva sa z blastocysty stáva embryo, ktoré má na konci týždňa 1-2 mm. Formujú sa všetky telové štruktúry a orgánové systémy, začína sa formovať tvárička a krvné bunky sa vytvárajú v žĺtkovom vaku. Toto obdobie medzi 4.-6. týždňom je najzraniteľnejšie pre vonkajšie vplyvy. Vytvára sa plodový vak s tekutinou a žĺtkový vak na výživu. V tomto štádiu ešte nie je počuť srdcový tep.
Na konci 4. týždňa tehotenstva má bábätko dva týždne od počatia, nazýva sa embryo a je podobné drobnej žubrienke. Vyvinula sa hlava s ústnym otvorom, primitívne srdiečko, ktoré začalo tepať, a jednoduchý mozog. Čoskoro sa objavia zárodky končatín.
V druhom mesiaci tehotenstva (približne 5. až 8. týždeň) embryo meria asi 2,5 cm, už má ľudskú podobu, chvostík zmizol a vytvorili sa ručičky a nožičky, oči, základ nosa a jazyk. Vznikli už všetky hlavné orgány a systémy. Embryo robí spontánne pohyby, ktoré však ešte dlho nebudete cítiť. Placenta sa rýchlo vyvíja.
V 5. týždni tehotenstva už začína biť srdiečko dieťatka. V 6. týždni sa môžu objaviť ranné nevoľnosti. V 7. týždni sa embryo ďalej vyvíja, v 8. týždni sa začína podobať na bábätko.
Tretí mesiac tehotenstva (9. až 13. týždeň) je posledným mesiacom prvého trimestra. Príznaky skorého tehotenstva môžu byť stále silné, ale ranné nevoľnosti sa často zmierňujú. Maternica sa zväčšuje a na konci mesiaca ju možno nahmatať v podbruší. Dieťa je teraz už plodom, rýchlo rastie a má ľudskejší vzhľad. Vonkajšie pohlavné orgány sú už dosť vyvinuté na určenie pohlavia.
V 9. týždni už embryu fungujú niektoré orgány. V 10. týždni sa dieťatko stáva plodom. V 11. týždni je možné rozlíšiť pohlavie. V 12. týždni má plod už skutočnú podobu dieťatka.
Štvrtý mesiac tehotenstva (14. až 17. týždeň) je začiatkom druhého trimestra, ktorý je pre mnohé ženy najpríjemnejším obdobím. Väčšina nepríjemných príznakov mizne, žalúdočné problémy sa zmierňujú a pribúda energia. Bruško sa stáva zreteľnejším tehotenským bruškom. Dieťa rastie a priberá, jeho telo rastie rýchlejšie ako hlavička, čo mu dodáva "ľudskejší" vzhľad. Kosti sa spevňujú a dieťa sa pohybuje. Placenta je plne funkčná.
V 14. týždni začína druhý trimester. V 15. týždni je možné s určitou istotou predvídať pohlavie. V 16. týždni ultrazvuk ukáže ďalší vývoj plodu. V 17. týždni už môžete cítiť prvé pohyby.
Piaty mesiac tehotenstva (18. až 22. týždeň) je obdobím, kedy prvýkrát pocítite pohyby dieťatka. Vaše tehotenstvo sa stáva reálnejším. Maternica dosahuje úroveň pupka a je jasné, že ste tehotná. Dieťa je čoraz aktívnejšie, má koordinovanejšie pohyby. Uši sú dostatočne vyvinuté na rozpoznávanie zvuku. Dieťa má pravidelné intervaly bdenia a spánku.
V 18. týždni môžete cítiť pohyby plodu alebo bolesti v podbrušku. V 19. týždni sa môžete pýtať, prečo ešte necítite pohyby. V 20. týždni vás čakajú ďalšie vyšetrenia. V 21. týždni sa dozviete, čo robí dieťatko v brušku. V 22. týždni už plod má vyvinuté všetky orgány.
Šiesty mesiac tehotenstva (23. až 27. týždeň) prináša viditeľné pohyby plodu, ktoré sú pre vás zábavné. Maternica rastie a je už veľká ako basketbalová lopta. Dieťa je stále aktívne, jeho pohyby sú koordinované. Môže otvárať a zatvárať oči a reaguje na svetlo. Funkčné sú jeho hlasivky. Dieťa, ktoré sa narodí v tomto období, má pri intenzívnej starostlivosti šancu prežiť.
V 23. týždni nastáva rýchly rast plodu. V 24. týždni plod otvára a žmurká. V 25. týždni sa rozvíja čuch a plod môže cítiť vône. V 26. týždni sa u plodu začínajú rozvíjať reflexy. V 27. týždni má plod už svoj rytmus spánku.
Siedmy mesiac tehotenstva (28. až 31. týždeň) je začiatkom tretieho trimestra. Približujete sa k pôrodu. Maternica rastie a dieťa rýchlo rastie, pod kožou má stále viac tuku. Pľúca síce začínajú fungovať, ale ešte nie sú celkom vyvinuté. Dieťa narodené v tomto mesiaci má dobré vyhliadky na prežitie.
V 28. týždni začína 7. mesiac a nastávajú zmeny u ženy i dieťaťa. V 29. týždni vás čakajú ďalšie prekvapenia, vrátane prvého úsmevu v brušku. V 30. týždni je dieťa každý deň o niečo väčšie. V 31. týždni môže plod už komunikovať.
Ôsmy mesiac tehotenstva (32. až 35. týždeň) je predposledným mesiacom. Môžete byť viac unavená z nosenia brucha. Plod vyzerá bucľatejší a menej vráskavý. V maternici je menej miesta na pohyb. Rast mozgu je dynamický, pľúca sú takmer zrelé. Dieťa, ktoré sa narodí v tomto období, má dobré šance na prežitie.
V 32. týždni plod rozlišuje deň od noci. V 33. týždni sa priestor v maternici stále zmenšuje. V 34. týždni je čas pripraviť veci pre bábätko. V 35. týždni sa pôrod blíži.
Deviaty mesiac tehotenstva (36. až 40. týždeň) je posledným mesiacom. Čoskoro budete môcť objať svoje dieťa. Dieťa je pripravené na pôrod. V poslednom mesiaci plod rastie do dĺžky a hmotnosti. Väčšina detí sa dostane do polohy hlavičkou dolu.
V 36. týždni je dieťatko už takmer zrelé. V 37. týždni zaujalo dieťatko svoju polohu. V 38. týždni sa môžete zamyslieť nad dojčením. V 39. týždni je termín pôrodu už na dosah. V 40. týždni je čas pôrodu.
tags: #kedy #je #viediet #pri #zltkovom #vaku
