Hypofýza, malá žľaza umiestnená pod mozgom, hrá kľúčovú úlohu v hormonálnej rovnováhe tela. Je spojená s hypotalamom, ktorý ju ovláda prostredníctvom hormónov. Hypofýza je často nazývaná „hlavnou kontrolnou žľazou“, pretože reguluje produkciu hormónov v mnohých ďalších endokrinných žľazách. Ak hypofýza nefunguje správne, môže to mať vplyv na plodnosť ženy.
Funkcie hypofýzy a jej vplyv na plodnosť
Hypofýza produkuje rad hormónov, ktoré ovplyvňujú rôzne telesné funkcie. Niektoré z nich sú priamo spojené s reprodukčným zdravím:
- Luteinizačný hormón (LH) a Folikuly stimulujúci hormón (FSH): Tieto dva hormóny, známe ako gonadotropíny, majú zásadný vplyv na ženské vaječníky. Kontrolujú ovuláciu (uvoľnenie vajíčka) a produkciu estrogénu a progesterónu, ktoré sú nevyhnutné pre otehotnenie a udržanie tehotenstva.
- Prolaktín: Tento hormón je zodpovedný za produkciu mlieka v ženských prsníkoch po pôrode. Nadmerná produkcia prolaktínu (hyperprolaktinémia), často spôsobená nádorom hypofýzy (prolaktinóm), môže viesť k zníženiu hladiny pohlavných hormónov a narušiť ovuláciu.
Problémy s týmito hormónmi, spôsobené nefunkčnosťou hypofýzy, môžu viesť k nepravidelnej alebo chýbajúcej ovulácii, čo je jedna z hlavných príčin ženskej neplodnosti. Odhaduje sa, že problémy s ovuláciou sa vyskytujú približne u 25 % žien.

Nádory hypofýzy a ich vplyv na plodnosť
Takmer všetky nádory hypofýzy sú benígne (nerakovinové) žľazové nádory nazývané adenómy. Aj keď sa nešíria do iných častí tela, môžu spôsobiť vážne zdravotné problémy, vrátane neplodnosti.
Adenómy môžu ovplyvniť plodnosť dvoma hlavnými spôsobmi:
- Nadprodukcia hormónov: Ak adenóm produkuje nadmerné množstvo určitých hormónov, môže to narušiť hormonálnu rovnováhu. Napríklad, nadprodukcia prolaktínu môže inhibovať ovuláciu.
- Tlak na okolité štruktúry: Väčšie nádory (makroadenómy) môžu tlačiť na hypofýzu alebo okolité nervy, čo môže viesť k hormonálnym nedostatkom alebo iným problémom, ktoré ovplyvňujú reprodukčné funkcie.
Nádory hypofýzy, ktoré nevytvárajú nadbytočné hormóny, sa nazývajú nefunkčné adenómy. Predstavujú asi 3 z 10 všetkých zistených nádorov hypofýzy. Obvykle sa vyskytujú ako makroadenómy a spôsobujú symptómy kvôli svojej veľkosti, keď tlačia na blízke štruktúry.
Diagnostika a liečba
Diagnostika problémov s hypofýzou a ich vplyvu na plodnosť zahŕňa rôzne metódy:
- Krvné testy: Merajú hladiny rôznych hormónov, ako je prolaktín, FSH, LH, estrogén a progesterón.
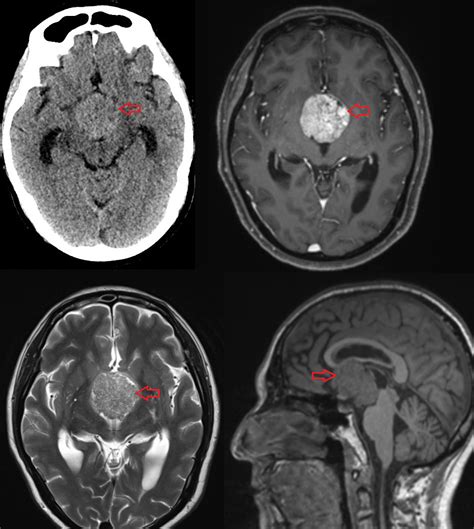
- MRI sken: Magnetická rezonancia umožňuje detailne zobraziť hypofýzu a identifikovať prípadné nádory.
- Testy zraku: Nádory hypofýzy môžu tlačiť na zrakové nervy, čo môže spôsobiť problémy s videním, najmä stratu bočného videnia.
Liečba závisí od príčiny a typu problému s hypofýzou. Môže zahŕňať:
- Lieky: Na úpravu hladín hormónov, napríklad na zníženie prolaktínu (napríklad Parlodel) alebo na podporu ovulácie.
- Chirurgický zákrok: Na odstránenie nádorov hypofýzy, najčastejšie transsfenoidálnou chirurgiou cez nos.
- Rádioterapia: Protónová terapia môže byť účinná pri liečbe niektorých nádorov hypofýzy s minimálnym poškodením okolitých zdravých tkanív.
V niektorých prípadoch, ako uvádza skúsenosť jednej z žien, liečba problémov s hypofýzou viedla k úspešnému otehotneniu. Po 3 mesiacoch liečby, ktorá upravila hormonálnu nerovnováhu, sa jej podarilo otehotnieť.

Môže žena otehotnieť s nefunkčnou hypofýzou?
Otehotnenie s nefunkčnou hypofýzou je možné, ale často vyžaduje liečbu na obnovenie hormonálnej rovnováhy a podporenia ovulácie. Hormonálna nerovnováha spôsobená problémami s hypofýzou je jednou z hlavných príčin ženskej neplodnosti. Správna diagnostika a cielená liečba, ktorá môže zahŕňať lieky na úpravu hladín hormónov ako FSH, LH alebo prolaktínu, zvyšuje šance na otehotnenie.
V niektorých prípadoch, ako je zvýšený prolaktín, môžu pomôcť aj prírodné prostriedky, napríklad bylina vitex. Niektoré ženy s problémami s hypofýzou úspešne otehotneli po úprave hladín hormónov pomocou liečby.
Ako stres ovplyvňuje plodnosť a hormóny: Odhalená pravda!
Dôležité je vyhľadať lekársku pomoc a podstúpiť potrebné vyšetrenia na zistenie presnej príčiny neplodnosti. Pátrať po dôvode má určite zmysel, pretože väčšine párov sa podarí počať po správnej diagnostike a liečbe.
tags: #moze #zena #otehotniet #pokial #jej #hypofyza
